Neuro Intervenção e Diagnóstico Invasivo

A Unicor disponibiliza a seus pacientes exames e procedimentos modernos e atualizados, proporcionando a seus pacientes resultados de primeiro mundo.

Tratamento de M.A.V – Malformação Arteriovenosa

A MAV (malformação arteriovenosa) se trata de uma ligação direta e anormal entre uma veia e uma artéria.
Para entendermos melhor, de forma simplificada, a artéria é um vaso sanguíneo que leva sangue oxigenado do coração para os órgãos, sendo mais robusta e obtém uma parede muscular que permite que suporte uma pressão sanguínea maior. Já a veia é um vaso sanguíneo que leva o sangue usado (sem oxigênio) de volta para o coração, sendo mais finas, não suportam grandes pressões sanguíneas como a pressão arterial.
Para ligar as artérias com as veias, normalmente, existe uma rede de capilares, pequenos vasos sanguíneos que ficam dentro dos tecidos sendo uma das funções deles evitar que o sangue arterial (com pressão alta) passe para dentro do sangue venoso (pressão bem mais baixa).
Normalmente, a sequência é artéria se ramificando em pequenas artérias, depois capilares, em seguida veias pequenas e veia maior.
Desta forma, se esta comunicação anormal ocorrer, a veia vai estourar, pois não suportará muito tempo receber um sangue arterial, isto é, com maior pressão, a esta comunicação anormal, damos o nome de “fístula”, e dentro de uma MAV pode haver uma ou mais fístulas.
Um dos tratamentos usados é a embolização, onde é feito uma punção na artéria femoral (perna) e introduzido um cateter pela artéria aorta até a base do pescoço.
Através deste cateter, passa outro cateter menor (microcateter). Este vai navegar pela circulação intracraniana, até ser posicionado dentro do nido da MAV, sendo realizados vários controles com injeção de contraste, em seguida injeta substâncias embolizantes, que visam preencher o nido da MAV.O objetivo principal é reduzir o fluxo de alta pressão das artérias dentro das veias, conforme explicado acima, podendo vir mesmo a ocluir o nido, levando, em alguns pacientes, à cura.

Tratamento agudo do A.V.C.I (24h)

O Acidente Vascular Cerebral Isquêmico (AVCI), também conhecido por derrame ou isquemia cerebral, é causado pela falta de sangue em uma área do cérebro por conta da obstrução de uma artéria. Essa obstrução pode acontecer devido a um trombo (trombose) ou a um êmbolo (embolia). O AVC isquêmico é o mais comum e representa 85% de todos os casos.
O tratamento para a desobstrução das artérias pode ser realizado por administração de um tipo de medicamento trombolítico, que dissolve o coágulo e normaliza o fluxo sanguíneo no cérebro.
Outra forma de tratamento é a trombectomia mecânica, que visa remover esse coágulo de forma mecânica e minimamente invasiva, o procedimento também é realizado em uma sala de hemodinâmica por via femoral (perna) e a técnica consiste em remoção do trombo agudo e pode ser realizada com stent retriever e/ou aspiração direta com catéteres específicos.
Independente da técnica, o fator fundamental para um bom resultado é o tempo. Quanto menor o tempo entre os sintomas e o tratamento, maiores as chances de recuperação.

Embolizações de Aneurismas Cerebrais

Aneurisma cerebral ou aneurisma sacular é uma dilatação que se forma na parede enfraquecida de uma artéria do cérebro.
A pressão do sangue na parede da artéria força essa região menos resistente e dá origem a uma dilatação que pode ir crescendo lenta e progressivamente.
À medida que o aneurisma cresce, a chance de ocorrer o sangramento aumenta. A ruptura do aneurisma causa uma hemorragia intracraniana (Acidente Vascular Cerebral Hemorrágico – AVC), quadro extremamente grave.
A embolização é realizada por intermédio de cateteres que são introduzidos na artéria femoral (perna), sendo guiado por um sistema de RX usando a tecnologia em tempo real permitindo a visualização do aneurisma a ser tratado.
Após o cateter estar posicionado dentro do saco aneurismático são introduzidos espirais de platina (micro-molas) de diversas formas e que se adaptam e preenchem o interior do aneurisma.
Tendo como finalidade a oclusão total ou subtotal do aneurisma, tentando com isto reduzir o risco de ruptura com consequente hemorragia cerebral.

Angiografias Cerebral e do Sistema Carotídeo

Angiografia de Carótida

É um exame que avalia o fluxo sanguíneo nas artérias carótidas. Se houver uma obstrução, isso pode indicar uma placa de colesterol.
O exame é realizado por uma punção na artéria femoral (na perna) ou na radial (braço) e através dela é introduzido um fino cateter, que chega até o local a ser estudado. Através do cateter é injetado contraste e pela radioscopia pode ser constatado o estreitamento ou dilatação da artéria examinada.

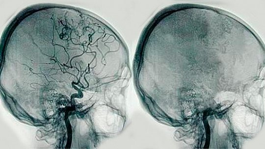
Angiografia Cerebral

A angiografia (arteriografia) cerebral é uma técnica utilizada para a detecção de anomalias dos vasos sanguíneos cerebrais – como sejam uma dilatação arterial (aneurisma), uma inflamação (arterite), uma configuração anormal (malformação arteriovenosa) ou uma obstrução vascular (acidente vascular cerebral).
O exame é realizado por uma punção na artéria femoral (na perna) e através dela é introduzido um fino cateter, que chega até o local a ser estudado. Através do cateter é injetado contraste e pela radioscopia pode ser feito o diagnóstico necessário.

Endereço

Av. Neyda Durão Frasson, 541, Linhares - ES

Telefones

Ligue: 27 3110-0107
Whatsapp: 27 99602-3722

E-mail

atendimento@portalunicor.com.br

Todos os Direitos Reservados
 Política de Privacidade